Know your OrthoDoc
Dr. Sneha Devarakonda
The First Post-Graduate Resident from India to hold the prestigious M.Orth from the Royal College of Surgeons, Edinburgh

Welcome,
To the World of
Smiles Designed
by
Crafting the confidence in your smile

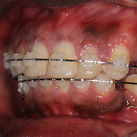
Metal Braces

The Traditional Option- High quality Stainless Steel brackets and wires to align your teeth
Lingual Braces
The Incognito Option- esthetic metal brackets and wires attached to the inside of your teeth surfaces to straighten your teeth effortlessly

Myofunctional and Orthopedic Appliances
The Growing Child's Option- the most efficient option to harness the growth potential of the child to align the teeth and the jaws at the earliest


Ceramic Braces
The Esthetic Option- Tooth colored esthetic brackets with metal wires to align your smile

Self Ligating Braces
The Hassle-Free Option- braces with self locking mechanics to treat your teeth more efficiently

Clear Aligners
The Truly Invisible Option- Digitally designed and planned Clear aligners for your best smile











